īī¿ÀÅå »ó´ãÇϱâ

Ä¡·áÀüÈÄ - ÆÇ±³¿ª 1¹øÃⱸ ·°½ºÄ¡°ú
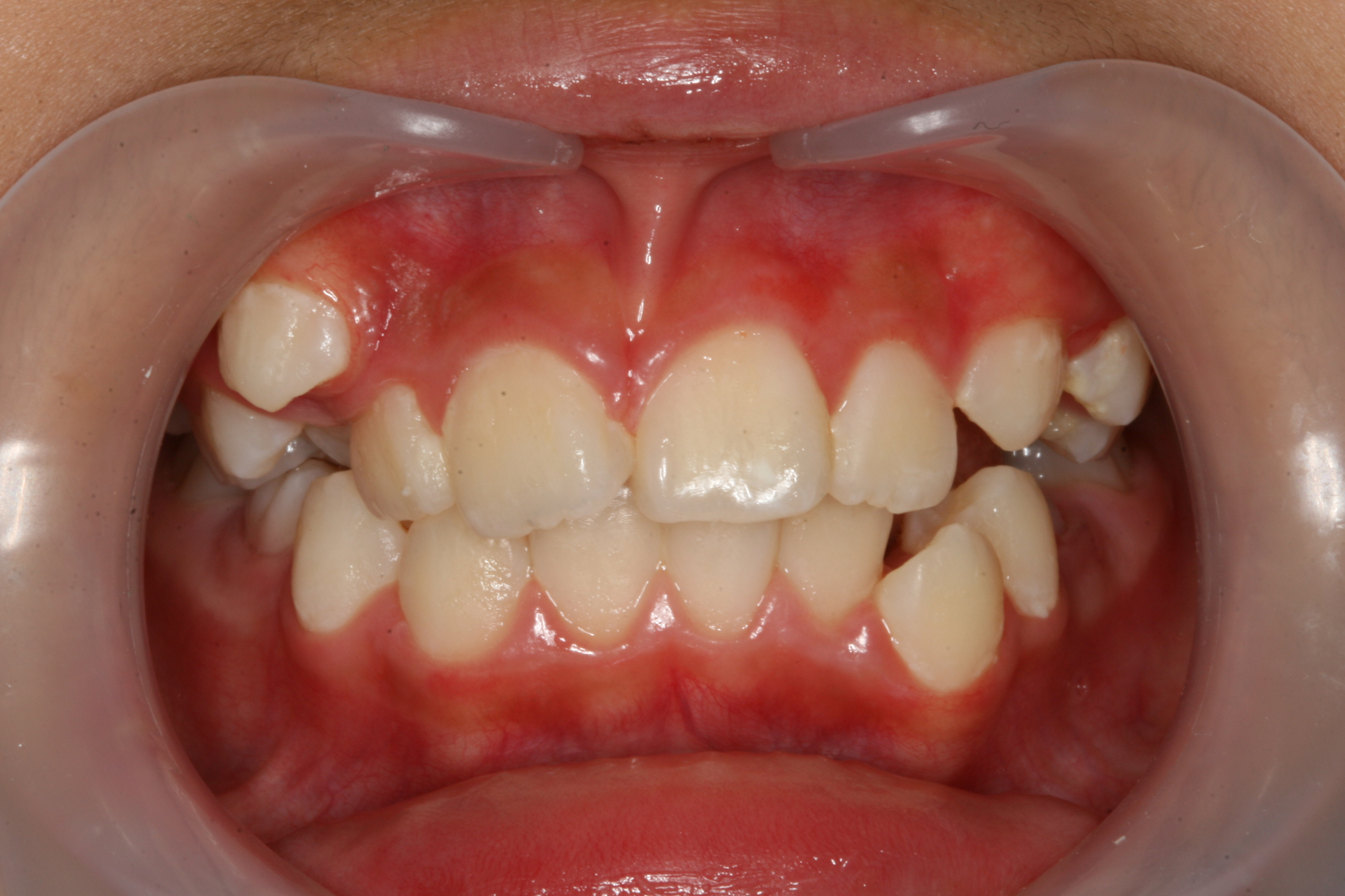
Á¦¸ñ Ä¡¾Æ±³Á¤ Ä¡·á ÀüÈÄ

















¼ºÇÔ   
¿¬¶ôó - -   
»ó´ãºÐ¾ß
³»¿ë
°³ÀÎÁ¤º¸¼öÁýµ¿ÀÇ [ÀÚ¼¼È÷º¸±â]
½Ç½Ã°£ »ó´ã¹®ÀÇ